
Ellbogengelenksdysplasie ist eine angeborene Fehlbildung des Ellbogengelenks, die zu Schmerzen und Instabilität führen kann. Es kann zu einer ungleichmäßigen Wachstum der Gelenkkomponenten führen, was zu einer mangelhaften Passung und Funktionsstörungen führt. Die Behandlung kann eine Operation oder konservative Maßnahmen wie physiotherapeutische Übungen und Schmerzmedikation beinhalten.
Was genau ist ED?
Oberarm, Elle und Speiche bilden zusammen das Ellbogengelenk. Dies ist ein sogenanntes Scharniergelenk.
Die Abkürzung ED steht für Ellbogengelenksdysplasie und bezeichnet eine Entwicklungsstörung des Ellbogengelenks während des Wachstums. ED ist der Oberbegriff der verschiedenen Erkrankungsformen des Ellbogengelenks. Es werden 3 unterschiedliche Krankheitsbilder unter dieser Bezeichnung zusammen gefasst. Die Bezeichnungen FPC (Fragmentierter Processus Coronoideus), IPA (Isolierter Processus Anconeus) umschreiben die Erkrankungen, je nachdem an welcher Stelle des Gelenks sich die Störung befindet.
OCD (Osteochondrose Dissecans) ist eine Knorpelentwicklungsstörung.
Dysplasie bedeutet = Fehlbildung, Unterentwicklung
All diese Erkrankungen betreffen Strukturen des Ellbogengelenks und es bedarf einer genauen röntgenologischen Abklärung, da es sich häufig nur um kleinste Veränderungen (Fragmente, Haarrisse) handelt, jedoch mit erheblichen Auswirkungen auf das komplette Gelenk und somit den Bewegungsablauf des Hundes.
Da es sich bei der ED um eine Entwicklungsstörung im Wachstum handelt, daher auch der häufige Begriff: “Wachstumsstörung”, kann sie sich bereits ab ca. dem 4. Monat bemerkbar machen. Sehr häufig wird sie vom Hundebesitzer aber erst später wahrgenommen, da die Störung dann bereits entzündliche Prozesse auslöst, welche sehr schmerzhaft sind und somit ein sichtbares Lahmen wahrnehmbar ist. Die ED kann sowohl an einem, aber auch an beiden Gliedmaßen gleichzeitig auftreten.
Das Ellbogengelenk

| O | = Oberarm (Humerus) |
| E | = Elle (Ulna) |
| S | = Speiche (Radius) |
| T | = Trochlea Humeri (Gelenkwalze) |
| 1 | = Processus anconaeus |
| 2 | = Epicondylus medialis |
| 3 | = Olekranon |
| 4 | = Processus coronoideus lateralis |
| 5 | = Processus coronoideus medialis |
Auf dem Röntgenbild kann man gut erkennen, wie wichtig es ist, dass die beteiligten 3 Knochen, die das Ellbogengelenk bilden, hundertprozentig übereinstimmen müssen, damit ein gut funktionierendes Gelenk entsteht. Dieses Gelenk muss immerhin fast 80 % vom Körpergewicht des Hundes tragen.
Kommt es nun an den betroffenen Knochen zu Fehlbildungen, verlagert sich die Gewichtsverteilung auf der Gelenkwalze und es kommt zu einer Überbelastung an einer anderen Stelle.
Da die Fehlbildungen an verschiedenen Stellen der Knochen auftreten können, bestimmt der Abschnitt der Fehlbildung das Krankheitsbild. Damit man die verschiedenen Krankheitsbilder versteht, ist es wichtig zu wissen, wie sich das Ellbogengelenk zusammensetzt.
Der Oberarm bildet an seinem Ende die Gelenkwalze, diese teilt man in einen äußeren und inneren Abschnitt ein. Anders als beim Hüftgelenk, wird diese Gelenkwalze nicht in einer Pfanne die aus einem Knochen besteht umschlossen, sondern diese “Pfanne” wird aus 2 Knochen gebildet.
Diese Pfanne setzt sich zusammen aus der Speiche und der Elle. Die Speiche, die mit dem Radiuskopf endet, übernimmt den hauptsächlichen Teil der Stützfunktion der Oberarmgelenkwalze.
Der andere Teil der Pfanne wird aus der Elle gebildet, die mit ihrem Fortsatz die Gelenkwalze umschließt. Dieser Teil der Elle hat eine halbmondförmige Aussparung.
Osteochondrosis dissecans

Die Erkrankung entsteht, wenn es durch eine Entwicklungsstörung zur Bildung einer zu dicken Knorpelschicht und einer Störung der Nährstoffversorgung der tiefen Knorpelschicht kommt. Wenn diese abstirbt, spricht man von einer Osteochondrose. Das abgestorbene Knorpelareal löst sich vom darunter liegenden Knochen. Es kommt zur Gelenkentzündung. Hebt sich eine Knorpelschuppe ab, spricht man von Osteochondrosis dissecans. In dem betroffenen Areal liegt der Knochen frei. Der veränderte oder abgelöste Knorpel kann die wichtigen Aufgaben wie Stoßdämpfung, Bildung einer Gleitfläche bei der Gelenkbewegung etc. nicht mehr erfüllen. Es kommt in der Regel zu einer schnell fortschreitenden Arthrose und Gelenkszerstörung. Die Abbildung zeigt eine Aufnahme eines Hundes mit OCD des Ellenbogengelenkes. Die normalerweise glatte Kontur zeigt im Bereich der Markierung einen Defekt auf.
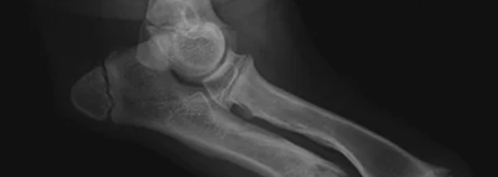
Isolierter Processus Anconeus

Bei dieser Form der ED ist ein Knochenfortsatz (Processus Anconaeus) der Elle im Rahmen des Wachstums nicht angewachsen (Störung in der Wachstumsfuge). Verschiedene Faktoren werden diskutiert. Die Verbindung zur Elle kann relativ fest oder gar nicht vorhanden sein. In jedem Fall kommt es jedoch durch den beweglichen Gelenkfortsatz zu einer andauernden Reizung des Gelenkes mit zügiger Bildung einer meist starken Arthrose. Die meisten Hunde lahmen deutlich und haben erhebliche Schmerzen im betroffenen Gelenk. Die Abbildung zeigt eine Röntgenaufnahme mit einem isoliertem Processus Anconeus im gekennzeichneten Kreis in dem die Verknöcherung nicht statt gefunden hat.
Fragmentierter Processus Coronoideus

Diese Erkrankung entsteht vermutlich, wenn Elle und Speiche keine gleichmäßige Kontur haben, sondern die Elle etwas übersteht. Eine andere Möglichkeit ist, wenn die Aussparung für den Oberarm zu eng ist. In beiden Fällen kommt es zu einer Überlastung eines Fortsatzes der Elle, des Processus Coronoideus. Es gibt noch viele weitere Entstehungstheorien. Die Folge ist immer die gleiche. In der Spitze des Processus Coronoidues werden Knorpel und Knochen geschädigt. Es kommt zur Bildung kleiner Knochen-Knorpelfragmente. Dann liegt eine fragmentierte Processus Coronoideus im eigentlichen Sinne vor. Wiederum kommt es zur Entzündung des Gelenkes mit Folgen von Schmerzen Lahmheit und Arthrose. Bei keiner anderen Form der Ellenbogendysplasie sind die Symptome bei verschiedenen Patienten so unterschiedlich ausgeprägt wie beim FCP. Es gibt Tiere, die über viele Jahre ohne Symptome sind und bei denen erst später im Röntgenbild leichte Veränderungen auffallen. Andere Tiere zeigen schon im frühen Alter eine schwere Lahmheit und starke Arthrose des Gelenkes. Meist werden die Patienten als junge Hunde am Ende des Wachstums vorgestellt und haben zu dieser Zeit bereits deutliche Veränderungen sowohl im Gang als auch im Röntgenbild.
Ellbogen – Inkongruenz
Unter diesem Begriff wird eine Stufenbildung zwischen Elle und Speiche verstanden. In geringer Form ist eine Stufenbildung wahrscheinlich auch an der Entstehung des FCP und eventuell auch des IPA beteiligt. Im Falle der Inkongruenz als eigenständiges Erscheinungsbildes des FCP ist die Stufe jedoch erheblich und eigentliche Ursache der Lahmheit. Betroffene Tiere müssen keinen FCP/ IPA haben. Durch die Stufenbildung kommt es zur ungleichmäßigen Belastung der Gelenkflächen und damit zu Überlastungszonen, in denen Knorpel und unterliegende Knochen geschädigt werden. Dadurch kommt es wiederum zur Entzündung des Gelenkes und in der Folge zu Lahmheit, Schmerzen und Arthrose. Alle Erscheinungsformen sind im Prinzip eigenständige Erkrankungen. Dennoch werden sie unter dem Begriff Ellenbogendysplasie zusammengefasst, da sie alle Ausdruck einer Fehlbildung des Gelenkes sind. Außerdem haben sie alle ähnliche Folgen für das Gelenk. Entzündung und Arthrose. Auch ist allen Formen gemein, dass sie nicht heilbar sind. Trotzdem sind sie sehr wohl Behandlungsnotwendig. Ziel der Therapie ist eine Verbesserung der Lahmheit und möglichst Schmerzfreiheit.
Wie kommt es zur ED?
Der Ellbogengelenksdysplasie liegt eine erbliche Komponente zugrunde. Sie kann auch bei Nachkommen auftreten, deren Elterntiere nachweislich frei (ED 0) von dieser Erkrankung sind. Bei der Ausprägung dieser Erkrankung spielen verschiedene Gene und verschiedene andere Faktoren eine entscheidende Rolle, und es ist ungleich schwieriger diese Erkrankungen und deren Auslöser zu erforschen.
Anders als bei Erkrankungen, die ohne äußere Faktoren entstehen, spielt hier die Lebensweise des Tieres eine nicht untergeordnete Rolle. Die Veranlagung zur ED ist zwar angeboren, aber das betreffende Tier kommt noch nicht erkrankt zur Welt. Allerdings besitzt dieses Tier eine höhere Wahrscheinlichkeit unter ungünstigen Bedingungen daran zu erkranken.
Hier beeinflussen wahrscheinlich äußere Faktoren, wie zum Beispiel übermäßige Belastung und falsche Ernährung während der Aufzuchtphase, die Ausprägung der Erkrankung.
Wird der Hund im Welpen- und Junghundealter ausgewogen und bedarfsgerecht ernährt und bewegt, besteht die Wahrscheinlichkeit, dass die Erkrankung günstiger verläuft oder eventuell gar nicht in Erscheinung tritt.
Wie sind die Symptome einer ED?
Die Symptomausprägung ist recht unterschiedlich, je nachdem in welchem Bereich des Gelenks die Störung auftritt.
Die Symptome können sich anfangs mit einem dezenten “merkwürdigen” etwas “steifen” Aufstehen nach längerem Liegen zeigen und im weiteren Verlauf bis zum starken Lahmen und schonen einer Gliedmaße führen.
Häufig kann man beobachten, dass betroffene Tiere die Vorderpfoten nach außen stellen und die Ellbogengelenke eng am Körper anliegen. Die betroffene Gliedmaße wird beim Laufen nach außen abgespreizt, rotiert.
Bei der Untersuchung des betroffenen Gelenks kann das Tier beim Abtasten, Strecken und Beugen mit Schmerzhaftigkeit reagieren. Die Gelenke können vermehrt gefüllt und angeschwollen sein.
Sind beide Gliedmaßen betroffen, zeigt sich für den Besitzer häufig gar kein eindeutiges Symptom, da der Hund auf beiden Beinen gleichermaßen Schmerzen hat und somit nicht ersichtlich lahmt. Eine eindeutige Diagnose lässt sich nur mittels Röntgenaufnahmen stellen. Allerdings ist auch die Darstellung auf dem Röntgenbild nicht immer ganz genau, weil die Veränderungen sehr dezent und somit nicht immer klar ersichtlich sind. Es sollten im Zweifel Aufnahmen in verschiedenen Projektionsebenen oder ein CT (Computertomografie) gemacht werden. Manchmal ist eine ganz eindeutige Abklärung nur mittels einer Arthroskopie (Gelenkspiegelung) möglich.
Behandlungsmöglichkeiten der ED:
Über die geeignete Behandlung der Ellenbogengelenksdysplasie gibt es unterschiedliche Ansichten. Zum einen hängt die Behandlung von der Erscheinungsform der Erkrankung ab. Ein IPA wird anders behandelt als eine OCD und ein ein FCP ebenso. Zum anderen hängt die Entscheidung vom Grad der Symptome des Hundes und von der Art und dem Grad der Röntgenbefunde ab. Grundsätzlich steht man vor der Entscheidung, ob eine chirurgische oder nichtchirurgische Behandlung durchzuführen ist.
Im Falle einer Absplitterung von Fragmenten oder Ablösung von Knorpelschuppen ist ein chirurgischer Eingriff nicht zu vermeiden, da die abgelösten Fragmente im Gelenk erheblichen Schaden anrichten und arthrotische Veränderungen verursachen. Diese sind nicht heilbar, beeinträchtigen den Hund in seinem Bewegungsablauf nachhaltig und sind sehr schmerzhaft.
Die Entfernung sollte möglichst frühzeitig erfolgen, bevor sich bereits starke Arthrosen gebildet haben. Dazu ist aber eine rechtzeitige und eindeutige Diagnose sehr wichtig!!
In leichteren Fällen einer OCD ohne Ablösungen von Knorpelschuppen, kann bei frühzeitiger Diagnose, durch strikte Bewegungseinschränkung und Futterumstellung eine Heilung eintreten.
Egal was man tut, die Arthrose kann durch kein derzeit verfügbares Therapieverfahren verhindert werden, da aus betroffenen Gelenken keine gesunden Gelenke werden. Die anschließende Stammzellbehandlung hilft die Knorpelfläche weitgehend zu regenerieren. Wie weit das möglich ist, hängt vom Einzelfall ab. Bei der OCD und der IPA entscheidet man sich immer für ein chirurgisches Vorgehen. Beim FCP ist die Entscheidung schwieriger. Viele Hunde laufen trotz FCP und relativ deutlichen Veränderungen im Röntgenbild recht gut. Es ist umstritten, ob eine Operation bei Hunden, die nur hin und wieder Lahmheitszeichen zeigen oder nur nach dem Aufstehen lahmen, sinnvoll ist.
Im Falle einer Verschlechterung und deutlicher Lahmheit ist eine operative Behandlung angezeigt. Der geschädigte Gelenkfortsatz wird entfernt, eventuell freiliegende Knochenfragmente ebenfalls. Dadurch ist die Gelenkfläche zwar nicht wieder hergestellt, aber die Entzündung und die permanente Reizung der Gelenkflächen kann abheilen, was zur deutlichen Reduzierung der Schmerzen und der Lahmheit führt. Bei Hunden, die aufgrund der Erkrankung bereits eine deutliche Arthrose entwickelt haben, ist die Lahmheit häufig nicht mehr durch den eigentlichen FCP oder IPA sondern durch die Arthrose bedingt. Hierbei erzielt man eine deutliche Besserung durch Arthroskopische Spülung und damit Entfernung jeglicher freien Knorpel und Knochenteilchen. Eine anschließende Stammzelltherapie in das Gelenk hilft den Knorpeldefekt zu reparieren. Medikametelle Behandlung mit Entzündungshemmer ist kurmäßig oder je nach Schweregrad auch als Dauertherapie notwendig.
Was bedeutet die Zahl hinter der Bezeichnung ED?
| Einteilungsgrad | Grundlage der Einstufung | andere Bezeichnung |
| ED 0 | Keine Zubildungen, kein Hinweis auf ED | Normal |
| ED Grenzfall | Keine Zubildungen, evtl. Hinweis auf ED | Fast normal |
| ED 1 | Osteophytenbildung mit einer Grösse unter 2 mm | Leicht |
| ED 2 | Osteophytenbildung mit einer Grösse zwischen 2 und 5 mm | Mittel |
| ED 3 | Osteophytenbildung mit einer Grösse von mehr als 5 mm | Schwer |
Osteophyt = griech. osteo = Knochen, phyt = Gewächs
Osteophyten sind Veränderungen am Rand des Knochens in Form von Knochenneubildungen. Diese können sich als Knochenvorsprünge am Rande der Gelenkflächen in Form von Spangen, Randzacken, Höckern oder flächenhaften Auflagerungen zeigen. Sie werden vom Körper infolge eines arthrotischen Gelenks gebildet, damit sich die Auflagefläche erhöht um damit den Auflagedruck, der durch ein fehlerhaftes Gelenk entsteht, zu verringern.
Diese Klassifizierung beruht ausschließlich auf den röntgenologisch erfassbaren Erscheinungen. Sie ist so eindeutig wie möglich formuliert und sollte für die Beurteilung aller Rassen dienen. Allerdings treten bisweilen Schwierigkeiten bei der Zuordnung der ED-Grade auf. Die Übergänge zwischen zwei Graden sind häufig fließend und somit führen sie zu abweichenden Beurteilungen von Hunden.
Dieses Problem führt schon seit Jahren zu Unstimmigkeiten unter den Gutachtern. Die Züchter sind natürlich ebenso betroffen und nicht immer einverstanden mit den Bewertungsergebnissen und legen Widerspruch gegen die Beurteilung ein.

